Burmec Bursa

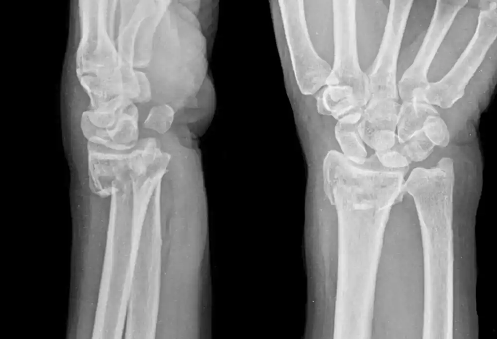
DİSTAL RADIUS KIRIKLARI

Anasayfa » Distal Radius Kırıkları

Distal radius kırığı, bileğin en yaygın kırıklarından biridir ve genellikle düşme gibi travmalar sonucu meydana gelir. Radius kemiği, kolun alt kısmındaki büyük kemiklerden biridir ve bileği destekler. Distal radius, bu kemiğin bileğe yakın olan kısmıdır. Bu kırık, yaşlı bireylerde daha yaygın olsa da, gençlerde de spor yaralanmaları veya kazalar sonucunda görülebilir.

Bu yazıda, distal radius kırıklarının nedenleri, belirtileri, tedavi yöntemleri ve iyileşme süreci hakkında kapsamlı bilgiler bulabilirsiniz.

Distal Radius Kırığı Nedir?

Distal radius kırığı, ön kolun başparmak tarafındaki kemiği olan radiusun, bileğe yakın kısmında meydana gelen kırıklardır. Genellikle elin üzerine düşme sonucu oluşur ve oldukça yaygındır.

Distal Radius Kırıkları Neden Olur?

Bu tür kırıkların en yaygın nedenleri şunlardır:

  • Düşmeler: Kaygan bir zeminde veya merdivenden düşerken elinizi refleks olarak yere koyduğunuzda kırık oluşabilir.
  • Spor Yaralanmaları: Futbol, basketbol, kayak, paten gibi temas veya yüksek hız gerektiren sporlarda el bileği kırılabilir.
  • Trafik Kazaları: Motorlu taşıt kazaları sırasında bileğe gelen ani darbe kırığa neden olabilir.
  • Kemik Erimesi (Osteoporoz): Özellikle yaşlı bireylerde kemiklerin zayıflaması sonucu hafif bir darbe bile kırığa yol açabilir.

Belirtileri Nelerdir?

Distal radius kırığının yaygın belirtileri şunlardır:

  • Şiddetli bilek ağrısı
  • Şişlik ve morarma
  • Bileğin şekil bozukluğu (eğilme veya çıkıntı oluşması)
  • Hareket ettirmede zorluk ve hassasiyet
  • Parmaklarda uyuşma veya karıncalanma

Tanı Nasıl Konur?

Doktor, fizik muayene yaparak ve şu tetkikleri kullanarak kırığı tespit edebilir:

  • Röntgen: Kemiğin kırık olup olmadığını net bir şekilde gösterir.
  • Bilgisayarlı Tomografi (BT): Daha karmaşık kırıkların detaylarını görmek için kullanılabilir.
  • Manyetik Rezonans Görüntüleme (MR): Bağ ve tendon hasarı olup olmadığını kontrol etmek için tercih edilir.

Kırık Sonrası Nelere Dikkat Edilmeli?

  • El ve parmakları hafif hareket ettirmek: Kan dolaşımını artırmak için önemlidir.
  • Ağır yük kaldırmamak: Kemik tam iyileşmeden zorlayıcı hareketlerden kaçınılmalıdır.
  • Doktor kontrollerini aksatmamak: Röntgen takipleri ile kırığın iyileşme süreci değerlendirilmelidir.

Distal Radius Kırıklarından Korunma Yolları

  • Düşmelere karşı dikkatli olun: Kaygan zeminlerde dikkatli yürüyün.
  • Spor yaparken koruyucu ekipman kullanın: Özellikle bilek destekleyici ekipmanlar takın.
  • Osteoporozu önleyin: Kalsiyum ve D vitamini içeren besinler tüketin, düzenli egzersiz yapın.

Distal Radius Kırığı Tedavi Yöntemleri

Distal radius kırığının tedavi edilmesi, kırığın türüne ve şiddetine göre değişir. Hafif kırıklarda basit tedavi yöntemleri uygulanabilirken, daha ciddi kırıklarda cerrahi müdahale gerekebilir.

1. Konservatif Tedavi (Cerrahi Olmayan Yöntemler)

Hafif kırıklarda veya kaynaması düzgün olan kırıklarda cerrahi müdahale gerekmez. Bu durumlarda tedavi yöntemleri şunlardır:

  • Atel veya Alçı Kullanımı: Kırık bölgede hareketi engellemek ve kemiklerin düzgün şekilde iyileşmesini sağlamak için alçı veya atel uygulanır. Bu genellikle 4-6 hafta süresince kullanılır.
  • Buz Uygulaması: Şişliği ve ağrıyı azaltmak için buz kompresleri uygulanabilir.
  • Ağrı Kesiciler: Şiddetli ağrı durumunda, doktorun önerisiyle ağrı kesiciler kullanılabilir.

2. Cerrahi Müdahale (Ameliyat)

Ciddi kırıklarda, özellikle kemik parçalanmış veya yerinden kaymışsa, cerrahi müdahale gerekebilir. Cerrahi tedavi seçenekleri şunlardır:

  • Açık Redüksiyon ve İç Fiksasyon (ORIF): Kırık kemiklerin doğru pozisyona yerleştirilmesi ve vidalar veya plakalarla sabitlenmesi işlemi yapılır. Bu işlem, kemiklerin düzgün bir şekilde iyileşmesini sağlar.
  • Eksternal Fiksatörler: Kırık kemiklerin dışarıdan bir fiksatörle sabitlenmesi işlemidir. Bu yöntem, özellikle daha karmaşık kırıklarda uygulanabilir.
  • Kemik Grefti: Eğer kemik iyileşme sürecinde yeterli yapıyı oluşturamazsa, ek bir kemik grefti uygulanabilir.

3. Fiziksel Terapi

Ameliyat sonrası iyileşme sürecinde, fiziksel terapi önemli bir rol oynar. Fiziksel terapi, bileğin hareket kabiliyetini geri kazandırmak, kasları güçlendirmek ve eklem esnekliğini artırmak için yapılır. Terapist, uygun egzersizler ve manuel tedavi yöntemleri ile tedavi sürecini destekler.

Distal Radius Kırığı İyileşme Süreci

Distal radius kırığının iyileşme süresi, kırığın türüne ve tedavi yöntemine bağlı olarak değişir. Hafif kırıklarda, alçı ve dinlenme süresi 4-6 hafta arasında olabilir. Cerrahi tedavi gerektiren durumlarda, iyileşme süreci daha uzun olabilir ve 6-12 hafta arasında değişebilir.

İyileşme sürecinde, fiziksel terapi uygulamaları ve doktor kontrolleri çok önemlidir. Kemiğin tamamen iyileşmesi ve eski fonksiyonlarına kavuşması zaman alabilir, bu yüzden sabırlı olmak ve tedaviye sadık kalmak gerekir.