Parmak replantasyonu, kopan veya ciddi şekilde yaralanan parmağın mikrocerrahi teknikleri kullanılarak yerine dikilmesi işlemidir. El ve parmak yaralanmaları, iş kazaları veya travmalar sonucunda meydana gelebilir ve fonksiyon kaybını önlemek için hızlı ve profesyonel müdahale gerektirir. Bursa’da parmak replantasyonu konusunda uzman doktorlarımız, en son teknolojilerle başarılı ameliyatlar gerçekleştirmektedir.

Parmak replantasyonu, bir kaza sonucu tamamen kopmuş veya kısmen ayrılmış parmakların, damarlar, sinirler ve tendonlar gibi yapıları mikrocerrahi yöntemlerle birleştirerek eski işlevine kavuşturulması işlemidir. Bursa parmak replantasyonu hizmetleri, acil ve planlı cerrahi prosedürlerle sunulmaktadır.
Bu işlem genellikle aşağıdaki durumlarda uygulanır:
Bursa’daki uzman doktorlarımız tarafından yapılan parmak replantasyonu süreci, aşamalı bir şekilde gerçekleşir:
Başarı oranı; kopma şekli, doku sağlığı ve erken müdahale gibi faktörlere bağlıdır. Parmak replantasyonu Bursa’da deneyimli doktorlarımız tarafından zamanında gerçekleştirildiğinde, hastalar el fonksiyonlarını büyük ölçüde geri kazanabilir.
Başarı faktörleri:
Ameliyat sonrası süreç, tedavinin başarısını doğrudan etkiler. Hastaların dikkat etmesi gerekenler şunlardır:

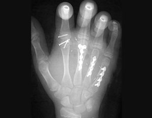
Bursa’daki uzman cerrahlarımız tarafından yapılan parmak replantasyonu ameliyatlarında, uygun hasta seçimi ve zamanında müdahale ile başarı oranı %80’e kadar çıkabilmektedir. Başarı oranını etkileyen faktörler şunlardır:
Bursa’da parmak replantasyonu işlemi; tam donanımlı hastanelerde ve mikrocerrahi alanında deneyimli cerrahlar tarafından gerçekleştirilir. Uzman doktorlarımız ile hastalarımıza bireysel çözümler sunarak, el fonksiyonlarını geri kazanmalarına yardımcı oluyoruz.
Parmak replantasyonu doktoru seçerken dikkat edilmesi gereken bazı önemli faktörler şunlardır:
Dr. Furkan Karabulut, bu kriterleri karşılayarak hastalarımıza en iyi hizmeti sunmaktadır.

Bursa’da parmak replantasyonu konusunda uzman doktorlarımızla sağlığınıza kavuşmak için bizimle iletişime geçebilirsiniz. Kopan parmaklarda erken müdahale, başarılı bir tedavi süreci için kritik öneme sahiptir.
Replantasyon, bir kişinin vücudundan tamamen kesilmiş olan parmak, el veya kolun cerrahi olarak yeniden yerine takılması anlamına gelir (Amerikan El Cerrahisi Derneği, 2006).
Replantasyon ameliyatı amputasyonu takiben yapılan nihai yeniden yapılanma şeklidir. Benzer kompozit doku ve fonksiyonel iyileşme için en iyi şansı sağlar.
Sonuçta replantasyon ameliyatının amacı, hastaya yaralı bölgeyi mümkün olduğunca fazla kullanma olanağı sağlamaktır.





Böyle bir acil durum meydana geldiğinde, kopan parça temiz bir plastik torbaya konulmalı ve aşağıda gösterildiği gibi ayrı bir buz torbasıyla veya herhangi bir termal kutuda saklanmalıdır.

Acil tedavi için Rekonstrüktif Mikrocerrahi uygulayan bir hastaneye başvurmanız önemlidir .
Burmec Bursa
Kısa sürede yanıt veriyor.
Merhaba, size nasıl yardımcı olabiliriz?
Whatsapp'tan Ulaşın
🟢 Çevrimiçi | Burmec Bursa