Burmec Bursa

ÜST EKSTREMİTE ARTRİTİ

Anasayfa » Üst Ekstremite Artriti

ÜST EKSTREMİTE ARTRİTİ: NEDİR, BELİRTİLERİ VE TEDAVİ YÖNTEMLERİ

Üst ekstremite artriti, elleri, bilekleri, dirsekleri ve omuzları etkileyen dejeneratif bir eklem rahatsızlığıdır. Günlük aktiviteleri zorlaştırarak yaşam kalitesini ciddi şekilde düşürebilir. Artrit tedavi edilmezse ne olur? Bu hastalık ilerledikçe eklemlerde ciddi deformasyonlar meydana gelebilir, hareket kısıtlılığı artar ve şiddetli ağrılar yaşanabilir. Bu yazımızda, üst ekstremite artritinin nedenlerini, belirtilerini, en çok hangi bölgeleri tuttuğunu ve tedavi yöntemlerini ele alacağız. Ayrıca, ekstremite ağrısı ile başa çıkma yolları ve eklem rekonstrüksiyon cerrahisi gibi ileri tedavi seçeneklerinden de bahsedeceğiz.

Üst Ekstremite Artriti Nedir?

Üst ekstremite ne demek? Üst ekstremite, vücudumuzun kolları, omuzları, dirsekleri, bilekleri ve elleri kapsayan bölgesidir. Bu bölgelerde ortaya çıkan artrit, eklemlerin iltihaplanması ve zamanla hasar görmesiyle sonuçlanır.

Artrit nedir, belirtileri nelerdir? Artrit, eklem iltihabıdır ve en yaygın belirtileri şunlardır:

  • Eklem Ağrısı: Özellikle hareket sırasında ve sonrasında hissedilir.
  • Şişlik ve Kızarıklık: İltihaplı eklemlerde ödem ve hassasiyet oluşur.
  • Hareket Kısıtlılığı: Zamanla eklem esnekliği azalır.
  • Eklem Deformasyonu: Tedavi edilmezse eklem şekil bozuklukları meydana gelebilir.

Üst ekstremite artriti, romatoid artrit ve osteoartrit gibi farklı türlerde olabilir. Bunlar arasında en sık görüleni romatoid artrittir.

Romatoid Artrit En Çok Nereyi Tutar?

Romatoid artrit, bağışıklık sisteminin eklemlere saldırması sonucu ortaya çıkan otoimmün bir hastalıktır. Genellikle elleri, bilekleri ve dirsekleri etkiler. Hastalığın ilerleyen safhalarında omuzlar ve diğer eklemler de tutulabilir.

Romatoid artritin en sık görülen belirtileri şunlardır:

  • Sabahları eklemlerde sertlik hissi
  • İlerleyici eklem ağrısı ve hassasiyet
  • Simetrik tutulum (her iki elde veya bilekte aynı anda)
  • Kas güçsüzlüğü ve yorgunluk

Eğer romatoid artrit tedavi edilmezse, eklemlerde geri dönüşü olmayan hasarlar meydana gelebilir ve günlük yaşamı zorlaştıran kalıcı deformasyonlar oluşabilir.

Üst Ekstremite Artriti Tedavi Edilmezse Ne Olur?

Artrit tedavi edilmezse ne olur? Tedavi edilmeyen artrit, eklemlerin yavaş yavaş hasar görmesine, hareket kabiliyetinin kaybına ve dayanılmaz ağrılara neden olabilir.

Tedavi edilmediğinde ortaya çıkabilecek sorunlar şunlardır:

  1. İleri Derecede Hareket Kısıtlılığı: Basit günlük aktiviteler bile yapılamaz hale gelebilir.
  2. Eklem Bozulmaları ve Şekil Değişiklikleri: Eklem yüzeyleri aşınır, kemikler birbirine sürtünmeye başlar.
  3. Kronik Ekstremite Ağrısı: Sürekli ve şiddetli ağrılar, yaşam kalitesini düşürür.
  4. Kas Güçsüzlüğü ve Atrofi: Kullanılmayan kaslar zayıflar ve küçülür.
  5. Ameliyat Gerektirecek Düzeyde Eklem Tahribatı: İleri evre vakalarda cerrahi müdahale gerekebilir.

Bu yüzden erken teşhis ve tedavi, eklemlerin korunması açısından kritik öneme sahiptir.

Ekstremite Ağrısı: Nedenleri ve Tedavi Yöntemleri

Ekstremite ağrısı, artrit dışında birçok farklı sebepten kaynaklanabilir. Üst ekstremitede ağrıya yol açabilecek yaygın nedenler şunlardır:

  • Romatoid Artrit ve Osteoartrit
  • Travmalar ve Kırıklar
  • Tendon ve Kas Yaralanmaları
  • Sinir Sıkışmaları (Örneğin, Karpal Tünel Sendromu)
  • Eklem Enfeksiyonları

Tedavi yöntemleri:

  • İlaç Tedavisi: Antiinflamatuar ilaçlar, kortikosteroidler ve biyolojik ajanlar
  • Fizik Tedavi ve Egzersizler: Eklem hareketliliğini artırmaya ve ağrıyı azaltmaya yardımcı olur
  • Yaşam Tarzı Değişiklikleri: Dengeli beslenme, kilo kontrolü ve düzenli egzersiz artrit belirtilerini hafifletebilir
  • Cerrahi Müdahale: Ağrının kontrol altına alınamadığı ileri vakalarda uygulanır

Ekstremite ağrısını hafife almamak ve erken dönemde uzman bir doktora danışmak önemlidir.

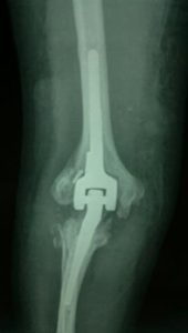
Eklem Rekonstrüksiyon Cerrahisi ve Tedavi Seçenekleri

Eklem rekonstrüksiyon cerrahisi, artrit veya travmaya bağlı ciddi eklem hasarlarını onarmak veya değiştirmek için uygulanan cerrahi yöntemler bütünüdür. Peki, rekonstrüksiyon cerrahi nedir ve kimlere uygulanır?

Rekonstrüksiyon cerrahisi; eklem protezleri, eklem yüzeylerini düzeltme operasyonları ve eklem füzyonları gibi çeşitli teknikleri içerir. Özellikle ilerlemiş artrit vakalarında şu yöntemler uygulanabilir:

    1. Eklem Protezleri: Omuz, dirsek veya bilek protezi takılarak hareket kabiliyeti artırılır.
    2. Artroskopik Cerrahi: Küçük kesilerle yapılan minimal invaziv bir yöntemdir.
    3. Eklem Füzyonu (Artrodezi): Ağrının şiddetli olduğu vakalarda eklemin kaynaştırılması sağlanır.

Bu cerrahi müdahaleler, ağrıyı azaltmak ve  hastaların yaşam kalitesini yükseltmek için oldukça etkili olabilir.

Üst ekstremite artriti, yaşam kalitesini ciddi şekilde etkileyebilen bir hastalıktır. Romatoid artrit en çok elleri ve bilekleri tutar ve ilerlediğinde eklem deformasyonlarına yol açabilir. Eğer artrit tedavi edilmezse, ekstremite ağrısı artar, hareket kısıtlılığı gelişir ve cerrahi müdahale kaçınılmaz hale gelebilir.

Tedavi yöntemleri arasında ilaç kullanımı, fizik tedavi ve ileri vakalar için eklem rekonstrüksiyon cerrahisi bulunmaktadır. Erken teşhis ve uygun tedavi yaklaşımları, hastalığın ilerlemesini önlemek ve yaşam kalitesini korumak açısından hayati öneme sahiptir. Eğer ekstremite ağrısı veya eklem sertliği gibi belirtiler yaşıyorsanız, vakit kaybetmeden bir uzmana danışmalısınız.