Burmec Bursa

SKAFOİD KIRIKLARI: BELİRTİLERİ, TEDAVİSİ VE İYİLEŞME SÜRECİ

Anasayfa » Skafoid Kırığı

Skafoid kırıkları, el bileğinde bulunan skafoid kemiğinin kırılması sonucu ortaya çıkan yaygın bir yaralanma türüdür. Özellikle düşme veya travma sonrası sıkça görülen bu kırık, doğru teşhis ve tedavi edilmediğinde ciddi komplikasyonlara yol açabilir. Bu yazıda, skafoid kırıkları hakkında bilmeniz gereken her şeyi, skafoid kırığı belirtileri, tedavisi, ameliyatı ve iyileşme süreci gibi başlıklar altında detaylı bir şekilde ele alacağız.

Skafoid Kırık Nedir?

Skafoid kemiği, el bileğinin başparmak tarafında yer alan küçük bir kemiktir. Bu kemik, el bileğinin hareketlerinde ve stabilitesinde önemli bir rol oynar. Skafoid kırıkları, genellikle el üzerine düşme sonucu meydana gelir. Kırık, kemik üzerinde küçük bir çatlak şeklinde olabileceği gibi tamamen ayrılma şeklinde de görülebilir.

Skafoid kırıkları, diğer kemik kırıklarına göre daha zor teşhis edilir. Bunun nedeni, kırığın röntgende her zaman net bir şekilde görülememesidir. Bu nedenle, skafoid kırığı şüphesi durumunda MR veya BT gibi ileri görüntüleme yöntemlerine başvurulabilir.

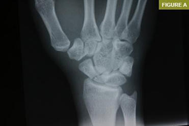
SKAFOİD KIRIKLARI

Skafoid Kırığı Belirtileri

Skafoid kırıklarının belirtileri, kırığın şiddetine ve yerine göre değişiklik gösterebilir. Ancak genel olarak aşağıdaki belirtiler skafoid kırığına işaret edebilir:

  • El bileğinde ağrı: Özellikle başparmak tarafında yoğunlaşan ağrı, skafoid kırığının en yaygın belirtisidir.

  • Şişlik ve morarma: El bileğinde şişlik ve morarma görülebilir.

  • Hareket kısıtlılığı: El bileğini hareket ettirirken zorlanma ve ağrı hissedilir.

  • Başparmakta hassasiyet: Başparmağın tabanında hassasiyet ve ağrı olabilir.

  • Kavrama güçlüğü: El bileğindeki ağrı nedeniyle nesneleri kavramak zorlaşabilir.

Bu belirtilerden bir veya birkaçını yaşıyorsanız, vakit kaybetmeden bir ortopedi uzmanına başvurmanız önemlidir.

Skafoid Kırığı Tedavisi

Skafoid kırıklarının tedavisi, kırığın tipine ve şiddetine göre değişiklik gösterir. Tedavi seçenekleri genellikle cerrahi olmayan yöntemler ve cerrahi müdahale olarak ikiye ayrılır.

1. Cerrahi Olmayan Tedavi Yöntemleri

  • Skafoid Kırığı Ateli: Kırık yerinden oynamamışsa ve stabilse, skafoid kırığı ateli kullanılarak tedavi edilebilir. Atel, kemiğin doğru pozisyonda kaynamasını sağlar. Bu yöntemde, el bileği 6-12 hafta boyunca hareketsiz tutulur.

  • Alçı Uygulaması: Bazı durumlarda, skafoid kırığı ateli yerine alçı da kullanılabilir. Alçı, kemiğin sabitlenmesine yardımcı olur.

2. Cerrahi Tedavi Yöntemleri

  • Skafoid Kırığı Ameliyatı: Kırık yerinden oynamışsa veya kaynama göstermiyorsa, skafoid kırığı ameliyatı gerekebilir. Ameliyatta, kırık kemik parçaları birbirine sabitlenir ve vida veya tellerle desteklenir.

  • Kemik Grefti: Kırığın kaynamadığı durumlarda, kemik grefti uygulanabilir. Bu yöntemde, vücudun başka bir bölgesinden alınan kemik dokusu kırık bölgeye yerleştirilir.

Skafoid Kırığı Ameliyatı Sonrası

Skafoid kırığı ameliyatı sonrası iyileşme süreci, hastanın yaşına, genel sağlık durumuna ve kırığın şiddetine göre değişiklik gösterir. Ameliyat sonrası dikkat edilmesi gerekenler şunlardır:

  • Atel veya Alçı Kullanımı: Ameliyat sonrası el bileği bir süre atel veya alçı ile sabitlenir.

  • Fizik Tedavi: El bileğinin eski hareket kabiliyetine kavuşması için fizik tedavi önerilebilir.

  • Kontroller: Düzenli doktor kontrolleri ile kırığın kaynama süreci takip edilir.

Skafoid Kırığı İyileşme Belirtileri

Skafoid kırığının iyileşme sürecinde aşağıdaki belirtiler gözlemlenebilir:

  • Ağrının Azalması: İyileşme sürecinde el bileğindeki ağrı giderek azalır.

  • Hareket Kabiliyetinin Artması: Fizik tedavi ve egzersizler sayesinde el bileği daha rahat hareket eder.

  • Röntgende Kaynama Görülmesi: Kontrol röntgenlerinde kırığın kaynadığı görülür.

Skafoid Kırığı Röntgen ve Teşhis

Skafoid kırıklarının teşhisi için röntgen en sık kullanılan yöntemdir. Ancak, bazı durumlarda röntgen kırığı göstermeyebilir. Bu nedenle, MR veya BT gibi ileri görüntüleme yöntemlerine başvurulabilir.

Skafoid Kırığı Tedavisinde Dikkat Edilmesi Gerekenler

  • Erken Teşhis: Skafoid kırıklarında erken teşhis, tedavinin başarısını artırır.

  • Doktor Kontrolleri: Tedavi sürecinde düzenli doktor kontrolleri ihmal edilmemelidir.

  • Fizik Tedavi: Fizik tedavi, el bileğinin eski fonksiyonlarını kazanması için önemlidir.

Skafoid kırıkları, doğru teşhis ve tedavi ile tamamen iyileşebilen bir yaralanma türüdür. Skafoid kırığı belirtileri yaşıyorsanız, vakit kaybetmeden bir uzmana başvurmanız önemlidir. Skafoid kırığı ameliyatı, atel kullanımı ve fizik tedavi gibi yöntemlerle bu yaralanmanın üstesinden gelebilirsiniz. Unutmayın, erken müdahale her zaman en iyi sonucu verir.