Yarıçap, ön koldaki iki kemikten biridir ve elin başparmak tarafında bulunur. Yarıçapın karpal kemiklerle eklemlenerek bilek eklemini oluşturan kısmına distal uç denir. Yarıçap bu bölgede kırıldığında, distal yarıçap kırığı meydana gelir .
Distal radius kırığı tipik olarak kemiğin ucundan yaklaşık bir inç uzakta meydana gelir. Kendi başına veya distal ulnadaki (küçük önkol kemiği) bir kırıkla birlikte meydana gelebilir.
Bu özellikler distal radiusun kırıldığı açıya bağlı olarak Colles veya Smith kırığı olarak sınıflandırılır .
Colles kırığı, uzatılmış bir elin avuç içine doğrudan darbe sonrasında meydana gelir. Örneğin, düşme sırasında iniş sırasında kendinizi desteklemek için avuç içleriniz açık olan elinizi kullandığınızda bu durum ortaya çıkabilir.
Colles kırığı sonrası bileğin yan görünümü , aşağı bakan bir çatala benzer. Bilekte, çatalın boynuna benzer belirgin bir “çıkıntı” vardır. Bu görünüm, distal yarıçapın kırık ucunun elin arkasına doğru hareket etmesinden kaynaklanır.
Smith kırığı, iki tür bilek kırığı arasında daha az yaygın olanıdır. Bileğin arkasına gelen bir darbeden, örneğin bükülmüş bir bilek üzerine düşmeden kaynaklanabilir. Bu kırık türünde, yarıçapın distal ucu genellikle avuç içi tarafına doğru kayar. Bu genellikle yarıçapın uzun kısmının sonlandığı yerde bilekte belirgin bir çöküntüye neden olur.
Yoğun ağrı , distal radius kırığının en yaygın belirtisidir . Genellikle, yaralı el veya bileği hareket ettirmeyi zorlaştıracak veya imkansız hale getirecek kadar şiddetli olabilen bir şişlik eşlik eder. Sinir hasarı varsa, parmak uçlarında karıncalanma hissi veya uyuşma yaşayabilirsiniz.
Bileğinizin kırıldığından şüpheleniyorsanız, aşağıdaki belirti ve semptomları arayın:
Yaralanma çok ağrılı değilse ve herhangi bir şekil bozukluğu yoksa doktora gitmek için ertesi güne kadar beklemek kabul edilebilir. Bu arada, buz torbası ve elevasyonla ağrı ve şişliği yönetirken bileği korumak için atel kullanabilirsiniz.
Hasar çok şiddetliyse, elinizde şekil bozukluğu varsa, parmaklarınızda uyuşma veya solukluk varsa acil servise gidin.
Doktor tanıyı doğrulamak için el ve bilek radyolojik taramaları isteyecektir. En popüler ve yaygın olarak kullanılan tanısal görüntüleme yöntemi X ışınlarıdır. X ışınları, kemiklerin gerçekten kırılıp kırılmadığını ve bunların yer değiştirmiş kırıklar olup olmadığını ortaya çıkarabilir . Ayrıca kaç tane kırık kemiğin mevcut olduğunu da gösterebilirler.
El bileğindeki kırıkların tedavisi diğer kırıklarda olduğu gibi aynı temel prensibe dayanır; hasarlı kısımlar yeniden konumlandırılmalı ve iyileşene kadar hareket ettirilmemelidir.
Tedaviyi etkileyen pek çok faktör vardır. Bunlar arasında bilek kırığının türü, yaşınız, fiziksel aktivite düzeyiniz ve cerrahın kişisel tercihleri yer alır.
Bazen, kişiler cerrahi kesi (açık redüksiyon) olmadan onarılamayan veya düzeltilemeyen yerinden oynamış kırıklarla gelirler. Açık bilek kırığı mümkün olan en kısa sürede cerrahi tedaviye ihtiyaç duyacaktır . Cerrahi prosedürler gelecekte ön kolunuzu veya bileğinizi nasıl kullanacağınızı etkileyebilir.
Cerrahlar, kemik iyileşirken kırık kemiği doğru pozisyonda tutmak için birkaç alternatife sahiptir :
Eğer bilekteki kemikler makul bir pozisyonda kırılmışsa, ortopedi cerrahı, kemik tamamen iyileşene kadar hastanın takması gereken bir alçı uygulayabilir.
Atel ve alçı: Kırık kemik parçalarının konumu bozuksa ve gelecekteki kol veya el bileği kullanımını engelleyecekse yeniden hizalanmaları gerekecektir. Bu, cerrahi bir kesi olmadan, yani kapalı redüksiyonla gerçekleştirilebilir . Kemik uygun şekilde konumlandırıldıktan sonra doktorunuz onu bir atel veya alçıyla stabilize edebilir . Şişlik azaldıkça alçılar genellikle 2-3 haftada bir değiştirilir.
Distal radius kırığının konservatif tedavisi, dirseği serbest bırakarak ön kolun alçı ile immobilizasyonunu içerir. Bazen ulnar stiloid ve distal radial ulnar eklemi içeren bir kırıkta, ön kolun supinasyon ve pronasyonunu önlemek için dirseğin üzerinde immobilizasyon yapılabilir.
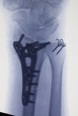
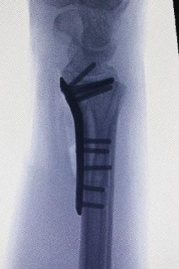
Konservatif tedavinin uygun olmadığı durumlarda cerrahi tespit önerilebilir. Distal radiusun sabitlenmesinde artık en yaygın yaklaşım, bileğin volar yönündendir. Bu, anatomik volar kilitleme plakasının kullanılmasını gerektirir. Birçok avantajı arasında daha az fark edilen bir cerrahi yara izi yer alır; kilitleme vidalı titanyum plaka daha iyi stabilite sağlar ve özellikle osteoporotik kemikleri olan hastalar için endikedir. Ulnar stiloid tabanda kırılmışsa kırığın onarılması tavsiye edilir.

Eklem içi distal radius kırığı





Burmec Bursa
Kısa sürede yanıt veriyor.
Merhaba, size nasıl yardımcı olabiliriz?
Whatsapp'tan Ulaşın
🟢 Çevrimiçi | Burmec Bursa