Parmak, el ve bilek eklem değiştirme, eklem sağlığını yeniden kazanmak ve hareket kabiliyetini artırmak için uygulanan cerrahi bir işlemdir. Bu yazıda, bilek protezi, ayak bilek protezi, bilek eklemi değiştirme, parmak eklemi değiştirme, el eklemi değiştirme gibi konuları detaylı bir şekilde ele alacağız. Ayrıca, bilek değiştirme ameliyatı, el eklem değiştirme cerrahisi, bilek ve parmak eklem değişimi, el ve parmak eklem protezi ve bilek artroplastisi gibi bu süreç hakkında bilmeniz gereken her şeyi açıklayacağız.
Parmak, el ve bilek eklem değiştirme, eklemlerde meydana gelen hasar veya deformasyon sonucu hareket kabiliyetini kaybeden hastalar için uygulanan bir cerrahi yöntemdir. Bu işlem, özellikle bilek eklemi değiştirme ve parmak eklemi değiştirme gibi durumlarda, hastanın günlük yaşam aktivitelerini yeniden kazanmasını sağlar. Eklem değiştirme işlemi, hasarlı eklem yüzeylerinin çıkarılarak yerine protezlerin yerleştirilmesiyle gerçekleştirilir.
Bu süreçte, el ve parmak eklem protezi kullanılarak eklem fonksiyonları yeniden sağlanır. Özellikle artrit, kaza sonucu oluşan yaralanmalar veya dejeneratif eklem hastalıkları gibi durumlarda bu cerrahi yöntem tercih edilir. Bilek artroplastisi gibi işlemler, hastaların ağrılarını azaltırken aynı zamanda eklem hareketliliğini de artırır.
Bilek protezi ve ayak bilek protezi, eklem değiştirme cerrahisinde sıkça kullanılan iki farklı protez türüdür. Her iki protez de eklem hareketliliğini artırmak ve ağrıyı azaltmak amacıyla kullanılır, ancak uygulama alanları ve teknikleri farklılık gösterir.
Bilek protezi, el bileğindeki hasarlı eklem yüzeylerinin değiştirilmesi için kullanılır. Bu işlem, bilek değiştirme ameliyatı olarak da bilinir ve genellikle artrit veya travma sonrası eklem hasarı olan hastalara uygulanır.
Ayak bilek protezi ise ayak bileğindeki eklemlerin değiştirilmesi için kullanılır. Bu protez, özellikle ayak bileği artriti veya ciddi kırıklar sonrası uygulanır.
Her iki protez türü de titanyum veya seramik gibi dayanıklı malzemelerden üretilir ve uzun ömürlü bir çözüm sunar. Ancak, bilek eklemi değiştirme işlemi, el bileğinin daha karmaşık yapısı nedeniyle daha hassas bir cerrahi teknik gerektirir.
Parmak eklemi değiştirme, özellikle parmak eklemlerinde ciddi ağrı ve hareket kısıtlılığı yaşayan hastalar için uygulanan bir cerrahi yöntemdir. Bu işlem, romatoid artrit, osteoartrit veya travma sonrası eklem hasarı olan kişilerde sıklıkla tercih edilir.
Parmak eklemi değiştirme işlemi, hasarlı eklem yüzeylerinin çıkarılarak yerine protezlerin yerleştirilmesiyle gerçekleştirilir.
Bu işlem, özellikle başparmak ve diğer parmak eklemlerinde uygulanır ve hastaların günlük aktivitelerini daha rahat yapmalarını sağlar.
El ve parmak eklem protezi kullanılarak yapılan bu işlem, hastaların yaşam kalitesini önemli ölçüde artırır. Ancak, her hasta için uygun olmayabilir. Cerrahi öncesi detaylı bir değerlendirme yapılması gerekir.
El eklemi değiştirme cerrahisi, el eklemlerinde ciddi hasar olan hastalar için uygulanan bir cerrahi yöntemdir. Bu işlem, özellikle el eklemi değiştirme ve bilek ve parmak eklem değişimi gibi durumlarda tercih edilir.
El eklem değiştirme cerrahisi, genellikle lokal veya genel anestezi altında gerçekleştirilir.
Cerrahi süreç, hasarlı eklem yüzeylerinin çıkarılarak yerine protezlerin yerleştirilmesini içerir.
İyileşme süreci, hastanın yaşına ve genel sağlık durumuna bağlı olarak değişir. Ancak, genellikle 6-8 hafta içinde tam iyileşme sağlanır.
Bu süreçte, fizik tedavi ve rehabilitasyon büyük önem taşır. Hastaların, cerrahi sonrası eklem hareketliliğini artırmak için düzenli egzersizler yapması gerekir.
Bilek artroplastisi, bilek eklemlerinde ciddi hasar olan hastalar için uygulanan bir cerrahi yöntemdir. Bu işlem, özellikle bilek değiştirme ameliyatı olarak da bilinir ve hastaların ağrılarını azaltırken aynı zamanda eklem hareketliliğini de artırır.
Bilek artroplastisi, titanyum veya seramik gibi dayanıklı malzemelerden üretilen protezler kullanılarak gerçekleştirilir.
Bu işlem, özellikle artrit veya travma sonrası eklem hasarı olan hastalarda büyük bir rahatlama sağlar.
Ancak, her cerrahi işlemde olduğu gibi bilek artroplastisi de bazı riskler taşır. Enfeksiyon, protezde gevşeme veya eklem hareketliliğinde kısıtlılık gibi komplikasyonlar görülebilir. Bu nedenle, cerrahi öncesi detaylı bir değerlendirme yapılması ve hastanın risk faktörlerinin belirlenmesi gerekir.
El ve parmak eklem protezi, son yıllarda büyük bir gelişme gösteren bir alandır. Özellikle bilek ve parmak eklem değişimi gibi işlemlerde kullanılan protezler, daha dayanıklı ve uzun ömürlü hale gelmiştir.
Yeni nesil protezler, titanyum alaşımları ve seramik malzemeler kullanılarak üretilmektedir.
Bu protezler, hastaların günlük yaşam aktivitelerini daha rahat yapmalarını sağlar.
Gelecekte, el ve parmak eklem protezi alanında daha fazla gelişme beklenmektedir. Özellikle 3D yazıcı teknolojisi kullanılarak üretilen kişiye özel protezler, bu alanda devrim yaratabilir.
Parmak, el ve bilek eklem değiştirme, eklem sağlığını yeniden kazanmak ve hareket kabiliyetini artırmak için uygulanan etkili bir cerrahi yöntemdir. Bilek protezi, ayak bilek protezi, bilek eklemi değiştirme, parmak eklemi değiştirme, el eklemi değiştirme gibi işlemler, hastaların yaşam kalitesini önemli ölçüde artırır. Ancak, her cerrahi işlemde olduğu gibi bu işlemler de bazı riskler taşır. Bu nedenle, cerrahi öncesi detaylı bir değerlendirme yapılması ve hastanın risk faktörlerinin belirlenmesi gerekir.
Bilek değiştirme ameliyatı, el eklem değiştirme cerrahisi, bilek ve parmak eklem değişimi, el ve parmak eklem protezi ve bilek artroplastisi gibi işlemler hakkında daha fazla bilgi almak ve bu hizmetlerden yararlanmak için Burmec Bursa El Cerrahi ve Mikrocerrahi Merkezi uzman ekibiyle iletişime geçebilirsiniz. Merkezimizde, alanında deneyimli cerrahlar ve modern tıbbi ekipmanlarla hastalarımıza en iyi hizmeti sunmaktayız. Sağlıklı bir yaşam için bize ulaşın!
Eklem değiştirme ameliyatı, tahrip olmuş veya hasar görmüş bir eklemin yapay bir eklemle değiştirilmesi prosedürünü ifade eder. Genellikle bağlantı yeri metal, plastik veya silikondan yapılır. Eklem artroplastisi olarak da adlandırılan eklem değiştirme ameliyatı çok yaygındır ve en yaygın olarak kalça veya diz gibi daha büyük eklemlerde kullanılır.
Parmaklara yönelik küçük eklem artroplastisi ve el bileği protezi ameliyatları giderek artan sayıda yapılmaktadır.
Özellikle kobalt krom gibi geliştirilmiş metalik alaşımlarla ilgili çalışmalar umut vericidir.
El, el bileği veya parmaktaki yapay eklem protezinin avantajı, hastanın daha az ağrıyla hareket açıklığını koruyabilmesidir.
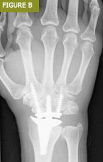
Daha önce de belirtildiği gibi, hasarlı veya tahrip olmuş eklemlerde eklem artroplastisi endikedir. Bu dejenerasyona bağlı olabileceği gibi daha önceki bir yaralanmanın sonucu da olabilir (Şekil A ve B). Romatoid artrit ve gut gibi inflamatuar artritlerin artan prevalansı ve birçok kişi tarafından benimsenen varlıklı yaşam tarzları ile eklem kıkırdağı dejenerasyonunun bir sonucu olarak ağrılı, şişmiş eklemler yaygın bir olaydır. Bu durumlarda eklem artroplastisi ağrıyı azalttığı ve hareket aralığını iyileştirdiği veya en azından koruduğu için faydalı olacaktır.


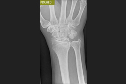
Parmak eklemi implantları için kullanılan malzemeler silikondan çeşitli sentetik plastik ve metal alaşımlarına kadar değişebilir (Şekil C). Kullanılan malzeme ve implant, ilgili eklem, hasta gereksinimleri ve mevcut cerrahi uzmanlık gibi çeşitli faktörlerle birlikte altta yatan patolojiye bağlıdır.

Parmak eklemi değiştirme implantları artık tüm parmak eklemleri için mevcuttur:
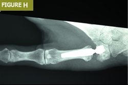
El bileği artroplastisinde çeşitli implant modülleri de kullanılmıştır:







Burmec Bursa
Kısa sürede yanıt veriyor.
Merhaba, size nasıl yardımcı olabiliriz?
Whatsapp'tan Ulaşın
🟢 Çevrimiçi | Burmec Bursa