Bilek birçok eklemden oluşur ve bu karmaşık çok eklemli yapı, bileğe günlük aktivitelerimizde keyif aldığımız türden hareketleri sağlar. Ne yazık ki, bu avantajlar eklemi yaralanmalara ve artrite de yatkın hale getirir. Kronik bilek ağrısının en yaygın iki nedeni şunlardır:
Bilek burkulması, el bileğindeki bir bağın yaralanmasıdır. Ligamentler, kemikleri kemiklere bağlayan bağ dokulardır; kemikleri bir eklemde bir arada tutan bant olarak düşünülebilirler. Bu tür yaralanmalar düşmelerde ve spor yaparken yaygındır. El yere çarptığında bilek genellikle geriye doğru bükülür. Düşmeyi takiben bilekte şişlik, hareket kısıtlılığı ve bazen morarma ile birlikte ağrı oluşabilir. Çoğu hasta bunun hakkında hiçbir şey düşünmez.
Yaralanmaların daha ciddi olabileceğinin ve profesyonel bir değerlendirme gerektirebileceğinin habercisi, özellikle ciddi bir düşüşten sonra bir haftadan uzun süre devam eden ağrıdır. Morarma ve şişlik ciddi belirtilerdir.
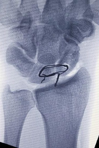
Skafolunat bağ yaralanmaları en sık görülen el bileği yaralanmalarıdır. Bu bağ skafoid ve lunat kemiği bir arada tutar. Bu bağın bozulması skafolunat instabilitesine neden olur. Geç aşamalarda skafoid ve lunat kemik arasında bir boşluk oluşur ve skafolunat ayrışması olarak bilinir.
Skafolunat instabilitesinin semptomları ağrı, sertlik ve şişliği içerir. Bunlar ilk önce splintleme ve steroidal olmayan antiinflamatuar ilaçlarla ve daha sonra kortizon enjeksiyonlarıyla tedavi edilebilir. Bu tedaviler başarısız olursa ameliyat bir seçenek olabilir. Artritik olmayan aşamada bağ rekonstrüksiyonu tercih edilen cerrahidir.


Skafolunat ekleminin ayrıldığını gösteren bileğin stresli görünümü
Aşağıda gösterildiği gibi, instabiliteyi sabitlemek için volar ve dorsal ligamanın skafolunatını tendon grefti ile yeniden yapılandırmak genellikle tercih edilen prosedürdür.













Burmec Bursa
Kısa sürede yanıt veriyor.
Merhaba, size nasıl yardımcı olabiliriz?
Whatsapp'tan Ulaşın
🟢 Çevrimiçi | Burmec Bursa